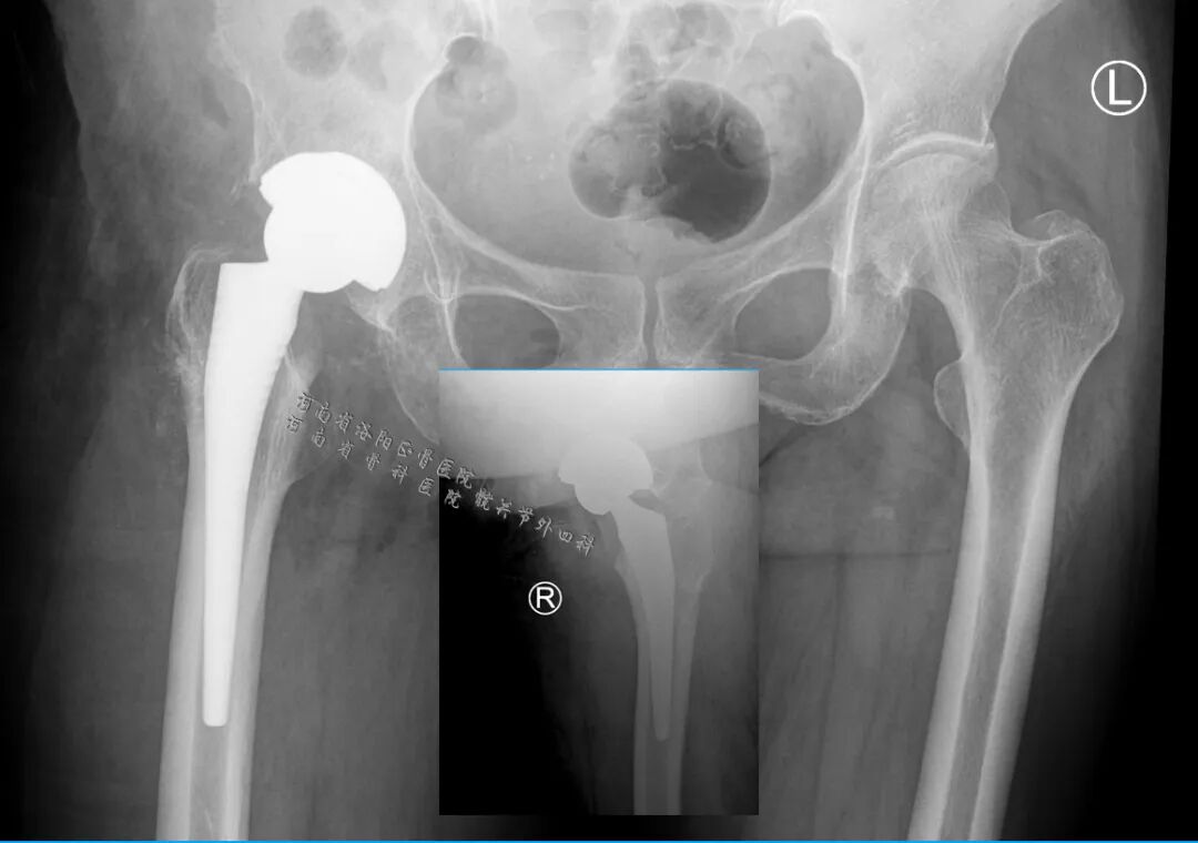
前段时间咱们提过一位62岁的病人,21年前因“右侧股骨头坏死”行右髋关节融合手术,近期要求行关节置换手术。在医生圈反响很大,现将结果汇报给如下。
内固定完全、彻底、无损取出,为关节置换的顺利进行提供了必要条件,全陶瓷关节则令患者此生无翻修之虞。
下面通过30张术中高清照片、4个视频、6个章节详解手术全过程,希望对同行有所启发。
1.手术入路以方便、不额外增加损伤为出发点,兼顾外形美观
(1)无需额外切口,无需变换体位,一个切口,两个手术
(2)股骨颈外形不规则、股骨头看不到,简单一招确定截骨平面和角度
(4)肢体短缩的全髋置换入路,以“创伤小、复位优,同时降低坐骨神经损伤风险”为主要考量
考虑到术中血腥场面带来的视觉冲击,强烈不建议读者病友继续往下阅读。
髋关节骨性融合20余年,进行关节置换必须完全取出内固定,否则髋臼假体的安装就无法实现;残存内固定轻则影响假体安装,重则造成血管神经损伤,甚至危及生命。
之前采用的是金属螺栓固定,且螺母在髋臼内壁,所以不能存留任何内固定,即便取不出来,臼底就是开窗也要拿出来,但那样做无疑创伤非常大、危险也随之而来。
当然,如果内固定不能完整取出的话,也可以摆锯锯断,化整为零,但问题是:
如果是不锈钢材质,如果没有氮化铬涂层、紫蓝PVD涂层的特种锯片,根本无法锯断——医用摆锯和钢钉硬度接近,无法相克——手术将被迫中止。
而后来证实,20多年前还真是一个主打不锈钢的年代,的确是全套不锈钢——想想都后怕!
所以,摆在我们面前的第2个问题就来了——选择什么入路,才能做到创伤最小化?
仅盯内固定很容易让人懵逼,况且笔者是关节科医生,搞股骨头20年,看啥股骨头都觉得很简单。
今天这活,横跨关节外科、骨盆创伤外科,在现有分工越来越细的时代,一般人都不会同时从事骨盆创伤和关节外科专业。
我院是一家骨伤专科医院,有109个骨科,分工细、专业精是突出优点,术前请骨盆髋臼科刘超主任会诊,无需病人承担会诊费用,一句“改天请兄弟喝酒”就能哄着全国创伤专家来免费打工——要说还得是自己兄弟方便。
但是,要求是:不能只想着取出内固定,还必须不能给关节置换增加麻烦。
本着“从哪里来就到哪里去”的思路,规划好方案后准备开干!
而且,DAA入路本就是从SP化裁而来,多简单个事!
进入骨骼肌肉层后,以髂脊为骨性标志,在缝匠肌内侧进行分离,进入髂窝。
术前准备的各型扳手排上了用场,取出毫无困难。取出螺丝后纱布填塞。
取钉这“小活”,让给大教授刘超来做,是有点大材小用了。
悲催的是,明明钉子可以拧动,但就是钉尾沟槽太浅了,当年的产品做工太粗糙,无论如何都奈何不得
这也是大学毕业这么多年,我俩第二次共同上台手术——文章最后再说我俩第一次共同上台的佳话。
用窄的骨刀在垫片周围挖坑,将垫片往骨头里锤击——暴露更多的钉尾——只要它能露头,取出就不是问题,免去了对不锈钢材料进行任何切割之苦。
空心环钻套住钉尾——卡住就行,歪着也无妨,借助电钻快速拧出!
主打一个不走寻常路,以退为进、歪打正着,完整、无损、快速取钉法。
这玩意,不知道是哪个厂家的,好歹取出来了,手术已经成功一半。
2.这个切口也不大,缝合后改行外侧、或后路——走自己熟悉的入路。
当然,笔者外侧、后侧、前、Sueprpath入路THA都略懂一二,但本案选择DAA毫不犹豫。
取出螺栓之后,钉孔以明胶海绵填塞止血,将附着在髂脊上的肌肉、瘢痕原位缝回。
原切口无需任何改进,在缝匠肌外侧分离,依稀从萎缩的阔筋膜张肌与缝匠肌找到分界处进行解剖,显露关节囊前方,里面全是瘢痕。
由于岁月已久,关节囊浅层的脂肪层已经萎缩消失,股直肌和髂关节囊肌明显萎缩、粘连,手指也无法摸到关节间隙。
硬邦邦的关节囊瘢痕组织切开,映入眼帘的是疙疙瘩瘩的骨赘——股骨颈前方全是“丘陵”,看不到股骨颈的形状,关节囊完全变成了贴骨疤。
不透视确定股骨颈的准确形状是很难的,摆锯从哪开始动工是没谱的。
但其实有个窍门——依据大转子尖的位置,内斜45°截骨即可。
还有一点,无论髋关节怎样融合,髋臼前后壁是固定的。
所以股骨颈截骨以后,两把骨撬分别终于髋臼前后壁——二者的中心及时髋臼的中心——关节融合再彻底,髋臼前后壁还是那个前后壁。
髋臼锉逐一磨锉——不要用骨刀挖坑(纤维融合的用骨刀更好),对付这种骨性强直髋一锉一锉的磨(可以跳号),可以减少出血、避免定位失误。
由于过程很简单,十来分钟即手术结束,故中间没有拍摄更多的照片。
磨锉过程中,松质骨突然变少,甚至出来一点点脂肪,就意味着卵圆窝到了。
虽然,取出内固定以后,可以改外侧、后路进行关节置换。
但是,我想强调的是,原切口(SP/变异DAA)不仅减小了创伤,更重要的是便于股骨颈截骨。
髋关节长期处于伸直外旋位,从后方进行股骨颈截骨空间狭小,一般需要先用窄骨刀打断股骨颈,再进行修整;髋关节前方入路则不同,切除关节囊之后,股骨颈广泛裸露于眼前,操作空间大,截骨轻而易举。
另外,因长期髋关节强直,髋周肌肉萎缩、韧带挛缩,假体复位牵引空间很有限,而前路置换较后路明显缩短了股骨头从髋臼外面滑入臼杯的距离,所以复位也更容易。
前路关节置换复位过程要容易得多,同时减少了对坐骨神经的牵拉。下图复盘复位难易程度:
两种切口“复位路径”明显不同
有网友留言,考虑到长期融合以后的肌肉萎缩,陶瓷头-聚乙烯内衬更稳定,这是一个很好的建议。
但是,考虑到病人才62岁,在农村需要从事体力劳动,选择聚乙烯内衬15~20年后可能要面临一次翻修,我们还是坚持使用全陶瓷关节配置。
当然,对于全陶容易脱位的担心,其实大可不必,原因有三:
假体稳定性最重要的基石是臼杯前倾、外展角,及股骨前倾角和肢体长度,这些在技术上不存在问题;
前侧入路保留了外侧、后方所有的关节囊、韧带,肌肉没有任何损伤,维持了后方的天然稳定性;
原始手术是SP入路,前方关节囊与股骨颈粘连不可避免,走前路可以顺带松解切除;走后路则可能需要松解才能进行股骨颈截骨、关节复位,但关节复位后,后侧稳定结构将无法原位缝合,对关节的稳定性破坏更大。
基于此,全陶瓷配置既能实现关节稳定,又能保证远期使用。
骨科同其他医学专科一样不断高速发展,众多亚专科不断涌现,包括但不限于创伤骨科、关节外科、脊柱外科、运动医学、显微外科等,每个领域都有其独特的技术要求和挑战。
然而,由于人的精力和时间都是有限的,医生们很难在所有这些领域都达到专家水平。因此,不同科室和亚专科之间的有效沟通与协作变得至关重要。通过跨学科团队合作,可以汇聚各方的专业知识和经验,共同探讨和解决复杂的病例,提高了诊疗效率,为患者提供更全面、更精准的治疗方案。
笔者与刘超同为大学同学,参加工作后从事不同的专业,虽有少量的交叉融合,但更多是不同观点的碰撞,通过不留情面的互怼模式能够对自身不足认识更清醒,从而迅速提升各自业务水平。
就比如,刘超教授虽贵为全国骨盆创伤领域的知名专家,但也有当小学生的另一面,笔者曾亲授其髋关节外科脱位技术、髋关节置换技术——没什么大不了的,大家都是医学领域的小学生,互相学习是常态
几个主任一小桌,学术讨论形式多
要点总结
内固定:
内固定材质不明,钛钉可以锯断,钢钉需强攻,术前准备再多都不多,能想到的都不算多;
融合髋内固定必须全部取出,侥幸心理是没有做足准备的借口;
内固定滑丝可以“挖坑露头”,先在钉尾周边打孔,显露更多空间后以电钻或换钻套住取出。
人工关节假体:
预期要体力劳动的年轻“老年人”还是要首选全陶瓷关节;
全陶瓷关节 ≠ 容易脱位,娴熟的技术、对骨组织、肌肉韧带的评估、术中保护、后期外展肌训练是预防脱位的关键;
DAA入路从SP化裁而来,对于髋关节强直,尤其对外旋强直是首选手术入路;
最拿手的手术入路要滚瓜烂熟,但多掌握几种手术入路更有底气。
-END-
声明:本文转载自<股骨头坏死不换关节>,版权归原作者所有,仅用于学习交流,如有侵权请联系删除。