锁骨钩板使用不当术后的并发症实在太多了
肩峰撞击综合症,肩峰骨质的磨损吸收、肩峰下滑囊炎、冈上肌腱炎、近侧端因应力过大可致钢板断裂、板钉松动,甚至骨折
这些异常的摩擦均可刺激局部神经、导致疼痛的发生,从而影响患者功能的锻炼和恢复
随便群里问一句
就有很多老师发来病例
病例一:
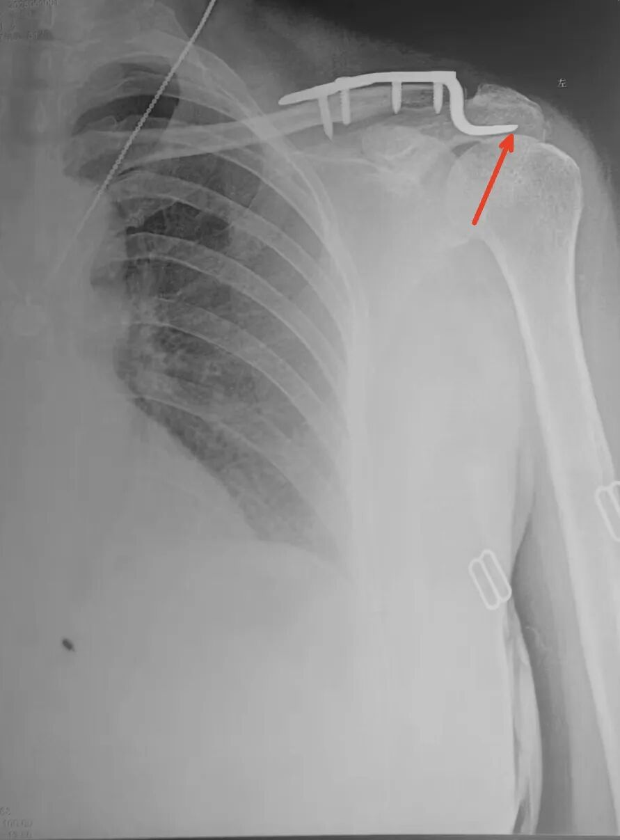
钩弧度和深度不合适,肩峰骨溶解
病例三:
取出后,查体肩锁关节稳定
复查关节间隙正常
术中麻醉下顺便给患者肩关节做一个手法松解
术后第2天,今天,查房患者诉
“肩膀(关节)前所未有的轻松”
分享下我们科室的做法
还有袢板
当然都有失效风险
大清早还看到一个患者发的片子
袢板术后2天再脱位
当然和技术和患者依从性关系也很大
钩板虽然需要取出
但是还是目前肩锁关节脱位最牢固的固定方法
本期主要写锁骨钩板的使用经验和如何避免并发症
如何放置和术后处理
术后外展枕
这也是我们术后严格遵守的
外展枕保护4-6周
-END-
声明:本文转载自<骨外狂徒张三>,版权归原作者所有,仅用于学习交流,如有侵权请联系删除。









