-
术前情况:患者初诊时显示中切牙间存在明显间隙(diastema),牙齿形态不规则,牙冠宽长比不佳。
操作步骤:
牙龈轮廓塑造:使用流动型A2色号复合树脂建立基础外形轮廓。
舌侧壳层:使用TE色号树脂构建舌侧结构。
牙本质层:使用AO2色号模拟天然牙本质的内部结构。
遮色/强化色块:使用白色树脂增强遮色效果,模仿牙齿局部高光区域。
表层釉质:使用A2色号树脂完成最外层,再现牙釉质的纹理与光泽。
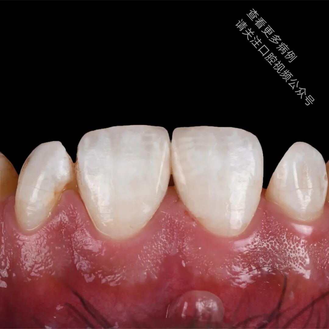
最终效果:成功恢复了自然美观的牙冠外形、颜色匹配良好,牙间隙完全闭合,过渡自然。
数据分析:
-
牙齿原始宽度:7mm -
牙齿原始长度:10mm -
宽长比:70% -
牙间隙大小:2mm
这意味着我们为每颗牙各增加了1mm宽度,使宽长比达到80%,这一比例被认为是接近“黄金比例”的理想美学标准。
声明:本文转载于<口腔视频>,仅用于学习交流,如有违规侵权,请立即联系我们。内容仅代表作者个人观点,望大家理性判断及应用。









