Lisfranc损伤是一种极为罕见的创伤,仅占所有骨科损伤的约0.20%。尽管许多医院仍采用切开复位螺钉内固定治疗单纯性Lisfranc韧带损伤,但尸体研究证实,纽扣钢板固定也能为单纯性Lisfranc韧带损伤提供足够的固定强度。本推文介绍采用标准TightRope:tm:固定单纯性Lisfranc韧带的技术方法,与同道分享学习。
站立位足部正位X线片显示,与健侧足部相比,Lisfranc关节分离超过2mm(测量内侧楔骨外侧缘与第二跖骨基底内侧缘之间的距离);
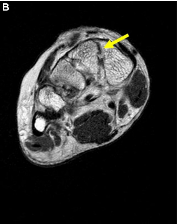
▲图示术前Lisfranc韧带的磁共振成像(MRI)评估:可见Lisfranc韧带断裂(黄色箭头标记)。
▲图示术前Lisfranc韧带的磁共振成像(MRI)评估:可见楔间韧带完整(黄色箭头标记)。
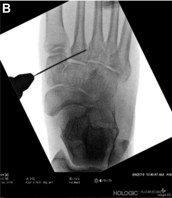
▲图示麻醉状态下,通过术中透视观察到Lisfranc关节分离情况。
麻醉满意后,患者取仰卧位,大腿根部应用气压止血带。术前,在C臂机下透视评估Lisfranc关节分离情况。在第二、三跖骨基底之间做纵向背侧皮肤切口,在外侧楔骨上方做内侧皮肤切口。采用锐性分离法,在拟放置 TightRope:tm:的区域掀起内侧楔骨后表面的骨膜,形成一个凹陷,以便后续与骨面精准贴合并埋藏缝线结。在透视确认下,将第二跖骨基底复位至正常解剖位置。随后,在透视引导下,沿Lisfranc韧带走向从内侧楔骨向第二跖骨基底钻入导针。
▲图示背侧皮肤切口。
▲图示内侧皮肤切口。
▲图示若手法复位效果不佳,则应用复位钳辅助复位。
沿该导针,使用直径3.5mm的松质骨钻头钻孔,形成骨隧道。然后,通过穿引针将TightRope:tm:植入骨隧道。当引导钉穿过第二跖骨基底皮质后,牵拉绿色和白色的穿引缝线,翻转椭圆形纽扣钢板,同时从外侧向FiberWire缝线施加张力。若纽扣钢板与骨面平齐贴合,则在外侧手工打结固定FiberWire缝线的游离端,并保留1cm长度后剪断缝线。
▲图示导针的置入方向:在透视引导下,沿Lisfranc韧带走向,从内侧楔骨的后内侧向第二跖骨基底置入导针。
▲图示透视下导针的置入方向,从内侧楔骨的后内侧向第二跖骨基底置入导针。
▲图示TightRope置入流程:牵拉绿色和白色的穿引缝线,翻转椭圆形纽扣钢板,同时从外侧拉紧FiberWire缝线。
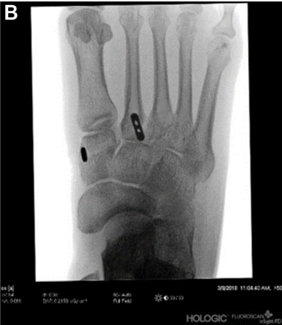
▲图示使用C臂机透视最终确认TightRope置入位置。
单纯性Lisfranc韧带损伤的最佳固定方式仍存在争议。传统的主流固定方式为刚性固定,但所有刚性固定都会限制损伤足部内侧柱的活动,导致患者在剧烈活动时出现疼痛或螺钉断裂等问题。多项对比研究表明,弹性固定在韧带损伤治疗中可取得满意的疗效。采用标准TightRope:tm:治疗单纯性Lisfranc韧带损伤可提供可靠的固定稳定性,减少并发症发生。
-END-
声明:本文转载自<足踝一昇>,版权归原作者所有,仅用于学习交流,如有侵权请联系删除。









