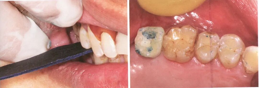
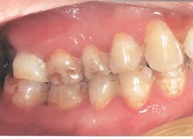
医生M,对患者进行取模,制作了临时修复体,计划使用17临时修复体压低对颌牙。口外临时修复体咬合面添加一层自凝树脂,戴入口内调至余留牙可以抽出 600wm 的咬合纸,即17临时修复体增高了 600um。
同正畸科和关节科讨论后认为,单次升高Imm 以内可以接受,但需每周复查。
那么临时修复体压低对颌牙的患者的纳人标准是怎样的呢?首先,需观察患者的面型,分析是否高角患者(SN-MP 角>40°),高角患者使用临时修复体压低对颌牙较低角患者出现关节不适风险增加。
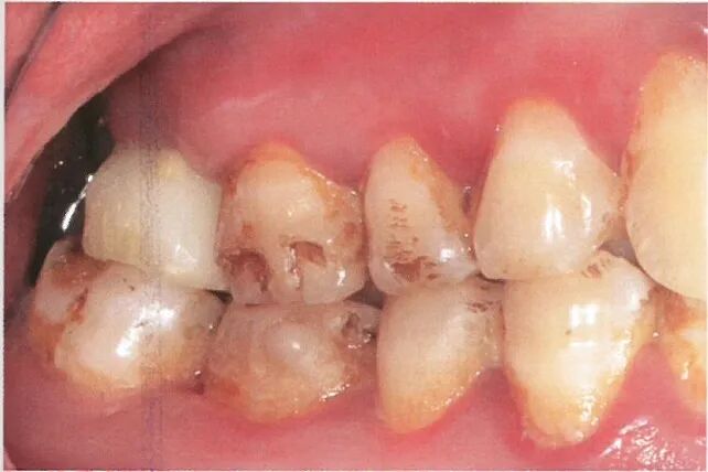
因此单颗牙缺失时,SN-MIP 角<40°,种植体骨结合良好,则可考虑应用临时修复体压低。其次,检查患者的开口度和开口型,关节肌肉有无症状等。然后检查拟压低对颌牙的牙周及根尖情况,压低前和压低后拍根尖片以作对比。在戴临时修复体前就进行口腔扫描或者制取藻酸盐模型,测量其临时修复体及天然牙临床牙冠高度而便于对比,排除临时修复体磨耗变短的可能。临时修复体升高的距离需严格把握,保证患者复诊次数,每次复诊均需仔细观察调整咬合,避免造成颞下颌关节负担过重。
使用临时修复体压低对颌牙,为临床上对颌牙明显伸长但正畸无法成功压低的患者提供了新的思路,但在选择该方式时仍需慎重,现阶段仍不可作为常规压低对颌牙的方式。
声明:本文转载于<牙医帮>,仅用于学习交流,如有违规侵权,请立即联系我们。内容仅代表作者个人观点,望大家理性判断及应用。









