近几年来,单侧双通道脊柱内镜技术(UBE/BESS)已经引起脊柱外科术者的广泛关注。由于其学习曲线相对平缓,镜下视野更全面,器械操作更灵活,器械选择更多等诸多优点,在治疗腰椎管狭窄症中更具优势,未来能使更多更复杂的脊柱退变性疾病实现微创化、内镜化治疗。本期我们一起来了解一下这项技术。
重点梳理:
1. 多裂肌三角、肌肉与椎板之间的间隙(Son’s space)是UBE手术操作空间创造的解剖学基础;
2. 对侧神经减压时,避免过早去除黄韧带,保护硬膜以免撕裂。
(一)解剖学基础
Son等提出了2个脊柱后侧的潜在间隙:1)多裂肌三角;2)肌肉与椎板之间的间隙(Son’s space),是初始空间创立的解剖学基础,提出可以依靠内镜入水的静水压和物理牵拉进一步扩大这个初始工作间隙。这也是进行UBE操作空间最重要的步骤。
图注:1)多裂肌三角;2)肌肉与椎板之间的间隙(Son’s space)
(二)定位与切口
UBE减压需要两个小切口,一个小切口约5-6mm,用于关节镜插入及持续生理盐水冲洗;另一个大切口约8-10mm,用作器械入口及生理盐水流出。使用扩张器逐层扩开椎旁肌肉,轻轻地将软组织推开创造空间。随着生理盐水的流入,空间形成并准备使用。


图注:关节镜系统及常规开放手术器械


图注:定位椎间隙上下两个椎弓根的下缘,棘突旁开1cm为两个操作区
图注:术者手术位置变化及术中仪器角度示意图
图注:术中腰椎透视图像关节镜通道与操作通道交汇。
图注:A 同侧椎板切除减压内镜观察,棘突(白色箭头),黄韧带(黑色箭头)。B 对侧神经减压,黄韧带(黑色箭头),硬膜(白色箭头)。C 对侧减压示意图,TP横突,SP,棘突,LF,黄韧带。
(1) 从同侧椎板的下缘向上磨除,直至黄韧带附着点(图A);
(2) 用钝性神经剥离子将黄韧带与对侧椎板下表面分离;
(3) 磨除对侧椎板的下表面,直到接近侧隐窝。注意黄韧带必须作为神经组织的保护。在严重狭窄的病例中,棘突和小关节通常肥大和变形。从棘突底部磨除更多的骨质扩大椎板切开窗口,更容易进入对侧隐窝(图B);
(4) 将对侧黄韧带与椎板分离,椎板钳对侧隐窝减压;
(5) 去除浅层黄韧带,深部保留作为保护层;
(6) 磨除下位椎板上缘,直至黄韧带附着点,将黄韧带分离;
(7) 切除对侧黄韧带,并对侧神经根减压(图C,D);
(8) 通过磨除同侧椎板和小关节内侧缘进行同侧减压。应尽可能保留小关节;
(9) 切除同侧黄韧带,减压同侧神经根,扩大椎管(图E);
(10) 彻底止血,放置引流管。
图注:对于严重狭窄的患者,通过单侧椎板切开(虚线)进行双侧减压可能会导致同侧小关节过度破坏(A);从棘突底部移除更多的骨质(*)(双箭头),保留同侧小关节(B)。
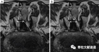
图注:术前(A)和最后随访(B)MRI对小关节保存的测量。虚线突出显示椎板切开的范围。小关节保存率=y/x×100%。
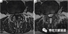
图注:对一例严重退行性腰椎管狭窄症患者行UBE减压术后的最终随访MRI(B)与术前MRI(A)对比显示,减压充分,硬膜横截面积和双侧小关节的保存改善明显。
1. Pao J L , Lin S M , Chen W C , et al. Unilateral biportal endoscopic decomspanssion for degenerative lumbar canal stenosis[J]. Journal of Spine Surgery, 2020, 6(2):438-446.
2. Kim J E , Choi D J . Unilateral biportal endoscopic decomspanssion by 30° endoscopy in lumbar spinal stenosis: Technical note and spanliminary report[J]. Journal of Orthopaedics, 2018, 15(2):366-371.
3. Song K S , Lee C W , Moon J G . Biportal Endoscopic Spinal Surgery for Bilateral Lumbar Foraminal Decomspanssion by Switching Surgeon's Position and Primary 2 Portals: A Report of 2 Cases With Technical Note[J]. Korean Journal of Spine, 2019, 16(1).
-END-









