01
引言
髓内钉是成人股骨及胫骨干骨折的首选固定方式,头髓钉则是治疗不稳定股骨转子间骨折的金标准。然而,胫骨和股骨的骨不连发生率分别高达14%和13.9%,在所有骨折中居于高位。
骨不连对患者生活质量的影响极大,甚至超过充血性心力衰竭、2型糖尿病和心肌梗死等慢性疾病。临床上,当内植物因疲劳断裂时,骨不连的诊断往往得以明确(图1)。
骨不连手术常需取出原有内植物,以恢复力学稳定性——这是骨愈合的关键前提,尤其在感染或计划更换髓内钉时更为重要。然而,取出内固定物十分困难,即使内植物完好,也可能伴随多种并发症。断裂髓内钉的取出尤其技术要求高、耗时长,并可能造成显著附加损伤。既往报道的方法多存在操作复杂、需附加切口或骨钻孔等局限。为此,我们提出一种高效、快速且微创的技术,用于取出股骨及胫骨断裂髓内钉中无法触及的部分。
02
手术技术
髓内钉断裂后,将插入端(如顺行股骨髓内钉的近端或逆行钉的远端)称为可触及部分,另一端则为难以触及部分(如顺行钉的远端或逆行钉的近端)。
本技术所需设备见表1。应用前提是:断裂部分至少保留一个完整的圆形锁定孔,且孔内最好仍有锁定螺钉(图2A)。若无可用锁定孔,需徒手钻取远端锁定孔。
患者体位取决于髓内钉类型及骨不连术式。取出断裂胫骨钉时,患者仰卧于可透视手术台,膝下垫沙袋或三角垫保持屈膝。取出断裂头髓钉或顺行股骨髓内钉时,患者可取仰卧或侧卧于可透视台或牵引台上。
C型臂置于手术对侧,确保获得骨与内植物的标准正交影像。“完美正圆”技术必须与体位兼容,此为关键环节。
经原切口显露髓内钉进针点。连接T形手柄,将橄榄头导丝送入断裂钉远端,直至遇锁定螺钉受阻。取出该螺钉后继续推进导丝,使其超出钉端1–2厘米。
根据髓内钉芯直径及导丝直径选择合适螺钉,使其能在导丝原位状态下置入锁定孔。4毫米锁定孔推荐使用直径2毫米螺钉,5毫米锁定孔则使用2.4毫米螺钉。螺钉长度不应超过髓内钉直径。
理想情况下应保留髓内钉整体在骨内,避免分段取出,因断裂部分将随主体一同拔出而不易卡顿。若无法实现,可扩髓至比钉直径大1毫米,以利取出(非必需)。
用2-0缝线系住微型螺钉头部以防脱落,在透视引导下将其旋入或敲入锁定孔(图2C)。螺钉就位后回抽导丝,使其与螺钉嵌合(图2D),随后敲击T形手柄将导丝连同断裂髓内钉一并取出(图2E)。操作中需持续保持导丝张力,以防螺钉脱落。关键步骤见表2,技术细节见补充视频。
03
关键手术步骤
定位进针点
取出最近端的一枚锁定螺钉,以便导丝通过
取出其余锁定螺钉
将导丝送至髓内钉末端
可选择取出髓内钉可触及部分
根据锁定孔直径确定微型螺钉的尺寸
可选择对髓内腔进行过度扩髓
用缝线固定螺钉并将其安装在螺丝刀上
完全退出锁定螺钉
将2毫米螺钉置入相应孔内并旋入或敲入
在透视下确认螺钉位置
回抽导丝,直至橄榄头与螺钉嵌合
取出断裂的髓内钉(部分情况下可能需要施加较大力量)
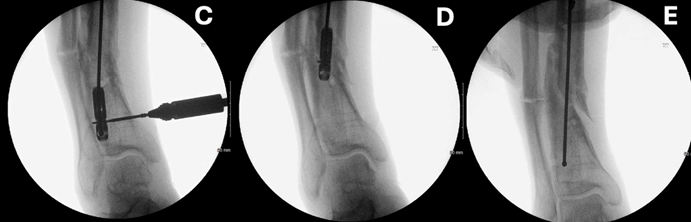
手术案例1:一例51岁男性胫骨骨不连患者断裂胫骨髓内钉的取出过程
A. 侧位像显示导丝通过选定螺钉孔向远端置入。
B、C. 逐步置入微型螺钉。
D. 取出远端断裂髓内钉。
E. 影像学确认成功取出。
手术案例2:一例87岁男性患者长头髓股骨髓内钉的取出过程(图1A)
A. 将远端锁定螺钉部分旋出。
B、C. 将橄榄头导丝送至髓内钉末端,并在原锁定螺钉孔内置入微型螺钉。
D. 小心回抽导丝,使其与微型螺钉嵌合,同时不退出螺丝刀。
E. 轻拉导丝,将髓内钉取出。
F. 取出后的断裂髓内钉,可见导丝及位于螺钉孔内的微型螺钉。
-END-
声明:本文转载自<一篇文献>,版权归原作者所有,仅用于学习交流,若有侵权请联系我们删除!









