前牙牙间隙的直接关闭是美学与修复牙科中最常被患者要求的治疗项目之一,因其显著的美学效果及微创特性而广受青睐。
在现有多种技术中,Front Wing技术已被公认为一种高度可预测的复合树脂牙间隙关闭方法,能够实现光滑的颊侧边缘以及天然牙体组织与修复材料之间的无缝过渡。该技术还可对邻面、切端及颈缘解剖形态进行精准控制,这对于获得逼真的美学效果至关重要。
在本临床病例中,Front Wing技术联合使用了Filtek:tm: Easy Match复合树脂。该材料因其优异的操作性能及简化的色度融合能力而被选用,有助于提升操作效率,并实现自然、协调的美学整合。
此外,专用成形片系统(如Unica Proximal成形片)的应用,有助于精确再现邻面形态、形成良好接触点,并获得高度可预测的解剖外形。
病例介绍
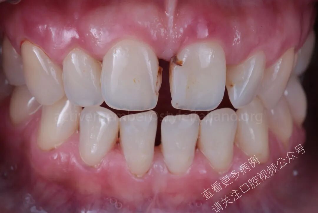
图1:口内照显示旧有复合树脂及龋坏患者就诊于本诊所,要求关闭上颌中切牙之间的牙间隙,以改善其笑容的美观性与协调性。
图2:中切牙渗透染色初诊临床情况。
图3:可见微渗漏的旧有复合树脂除患者希望关闭上颌中切牙间隙外,临床检查还发现中切牙近中区域存在旧有复合树脂修复体伴继发龋。
图4:关闭牙间隙前的口内照在制定牙间隙关闭方案时,必须谨慎选择修复技术,以确保操作简便、快速且可预测,能够建立新的接触点、新的接触区以及自然且符合生物学原则的穿龈轮廓。同样重要的是评估前牙的比例与对称性,以确保最终修复体呈现自然、协调且美学平衡的笑容。
图5:去腐后的窝洞橡皮障隔离后,去除旧有复合树脂修复体。
图6:斜面预备为实现剩余牙体组织与新复合树脂修复体之间最自然的过渡,在窝洞较大的21号牙上制备了微小斜面。
图7:粘接操作粘接步骤。
图8:关闭牙间隙前已充填的窝洞为充填现有窝洞并恢复原始牙体解剖形态,采用单色性复合树脂Filtek:tm: Easy Match进行了直接复合树脂修复。本例选用Natural色号,因其与患者天然牙色匹配最佳。
图9:牙间隙关闭方案设计为建立新的接触点、新的接触区及自然且符合生物学原则的穿龈轮廓,StyleItaliano提出的Front Wing技术被认为是目前前牙牙间隙关闭中最简单且最可预测的方法之一。本例旨在关闭上颌中切牙(11与21号牙)之间的间隙,因此需将复合树脂材料均匀分布于两颗牙齿上,以实现正确的对称性与平衡感。
图10:Front Wing初步塑形按照Front Wing技术,首先在颊面堆塑复合树脂以形成初始外形,有意在两个修复体之间保留微小间隙。
图11:Front Wing颊面观除建立颊侧轮廓外,在此初始阶段形成自然的颈缘穿龈轮廓亦至关重要。
图12:分层堆塑后的Front Wing添加并光固化复合树脂以完成颊面塑形后的临床观。所用材料为Natural色号的Filtek:tm: Easy Match复合树脂。
图13:Front Wing𬌗面观颊面塑形完成后,可垂直放置分段式成形片,以辅助塑造精确且自然的邻面解剖形态。
图14:Unica Proximal成形片就位放置分段式成形片(Polydentia公司Unica Proximal)后的临床观。必要时可使用楔子以增强成形片的稳定性与贴合度。
图15:Unica Proximal成形片侧面观显示Polydentia公司Unica Proximal成形片的放置与定位情况。
图16:流动树脂注射位点放置分段式成形片后,从腭侧填充邻面区域。首先应用一小滴流动型复合树脂(Filtek:tm: Supreme Flowable),暂不固化,遵循“雪犁技术”(Snowplow Technique)。
图17:Front Wing操作序列示意图在放置流动型复合树脂后,从腭侧将少量膏状复合树脂(Filtek:tm: Easy Match)压向已成型的颊面。流动树脂在此充当润湿与连接介质,促进增量材料间的紧密贴合,改善内部封闭性,并最大限度减少气泡或空腔风险。
图18:首颗牙腭侧光固化从腭侧压实复合树脂并建立正确外形、体积及颈缘穿龈轮廓后,按厂商说明进行光固化。
图19:Front Wing技术操作步骤完成11号牙腭侧及邻面复合树脂光固化后,可移除此牙上的成形片。
图20:第二颗牙的修复步骤随后在21号牙上执行相同的修复序列。
图21:所有成形片移除后的Front Wing移除21号牙上的成形片后。
图22:牙间隙关闭完成后的颊面观移除Unica Proximal成形片后的口内观。
图23:中切牙修复体抛光使用Sof-Lex:tm: discs与Sof-Lex:tm: spirals对两颗修复体进行修整与抛光。
图24:牙间隙关闭后的口内照修整与抛光完成后的最终临床观。牙间隙已按患者期望成功关闭。为维持天然牙比例及和谐的美学平衡,11与21号牙之间的颈缘外展隙被有意保留,从而呈现更真实、自然的外观。
结论
Front Wing技术在可预测性牙间隙关闭方面具有显著优势,包括对颊侧轮廓的优越控制、边缘密合性的提升,以及以最少调磨即可雕刻出光滑自然的邻面与颈缘解剖形态的能力。当与Filtek:tm: Easy Match复合树脂联合使用时——其色度融合特性简化了材料选择并促进无缝光学过渡——该操作流程变得更加高效与可靠。
在本临床病例中,修复技术、复合树脂材料与专用成形片系统的协同作用,实现了兼具美学、功能与微创特性的理想结果。这一成果再次印证:当代粘接与复合树脂策略使临床医生即使在需要精确形态整合的情况下,也能实现高度自然、稳定且保守的修复效果。
-END-
声明:本文转载自<茄子口腔医学>,仅用于学习交流,如有违规侵权,请立即联系我们。内容仅代表作者个人观点,望大家理性判断及应用。









