浅谈短冠磨牙的修复策略与方法
An Overview of Restoration Approaches for Short-Crowned Molars
在临床中,磨牙临床牙冠过短(常指𬌗龈距<4mm或预备后完整平行轴壁≤2mm)[1]的修复是常见挑战,常见于老年患者,多因长期磨耗、广泛龋坏或对颌牙伸长所致。此类病例因固位空间不足,修复体易脱位,治疗难度显著增加。临床上,针对不同程度的缺损与牙周条件,常采用全冠辅助固位型、嵌体冠、髓腔固位冠、带桩髓腔固位冠、桩核冠、牙冠延长术[2]以及近年来发展的喷墨3D打印氧化锆等多种修复策略,旨在通过髓腔/根管机械固位、增大粘接面积或手术暴露牙体等方式提升固位效果。这些方法各具特点,在增强固位力、提高抗折性、控制牙体预备量等方面发挥着积极作用。
一、全冠增加辅助固位形
Incorporating auxiliary retention features in a full crown
全冠增加辅助固位形(如沟、钉洞)用于短冠磨牙时,适用于𬌗龈距<4mm且剩余轴壁高度不足的活髓牙或死髓牙(图 1)。钉洞固位形通过进入牙本质(直径约1mm,深度约2mm)提供强固位力。其受力会产生拉应力,故优先用于活髓牙;死髓牙可适当加深。后牙置于牙尖间沟窝处,各钉洞方向需相互平行且与修复体就位道一致[3];沟固位形位于预备体轴壁,深1mm,龈端形成1mm肩台,形态为半圆形。其方向须与修复体就位道一致,多条沟需相互平行,且一侧轴壁必须清晰以抵抗脱位[4]。有研究对113颗冠高<5mm基牙的两年观察表明,增加固位沟可显著提升全冠固位力[5]。当短冠磨牙剩余牙体组织过薄(<1mm,无法承受沟或钉洞预备)或伴有严重牙周炎(松动度≥Ⅱ度)时,不建议采用此方法。
图1:A-D:𬌗龈距离短,近中邻面沟固位形,行金烤瓷冠修复(金属𬌗面、金属颈环设计)A:𬌗龈距离短;B:近中沟固位形;C:𬌗面观;D:侧面冠;图E-H:𬌗龈距离短,𬌗面中央钉洞固位形全瓷冠修复。E:𬌗龈距离短;F:𬌗面设置钉洞固位形;G:牙合面观;H:侧面观;
图片来自文献[6]
二、嵌体冠
Inlay-crown
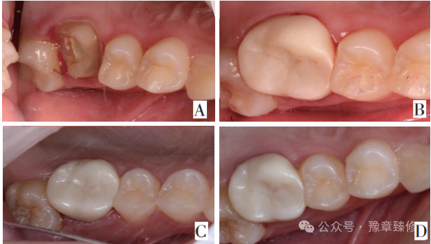
嵌体冠结合了嵌体的髓腔机械固位与冠部大面积粘接固位的优势,避免了桩道预备对根管系统的损伤[7],成为根管治疗后短冠磨牙的重要微创选择之一。其核心在于利用髓腔和剩余轴壁(高度≥1mm,厚度≥1mm,位于龈上且连续)提供双重固位(图2)。嵌体冠用于短冠磨牙时,需已完成完善的根管治疗,尤其适用于根管条件不适合桩核修复的情况(如细小、钙化根管)。短冠磨牙剩余轴壁不连续或高度<1mm(无法提供足够粘接面积)或未控制的重度磨牙症患者(侧向力易导致修复体折裂),不建议使用嵌体冠修复。
图2:氧化锆嵌体冠修复短冠磨牙备牙后及修复后A备牙后;B戴牙后;C一年后随诊;D两年后随诊
图片来自文献[8]
三、髓腔固位冠
三、髓腔固位冠
Endocrown/IRFPD
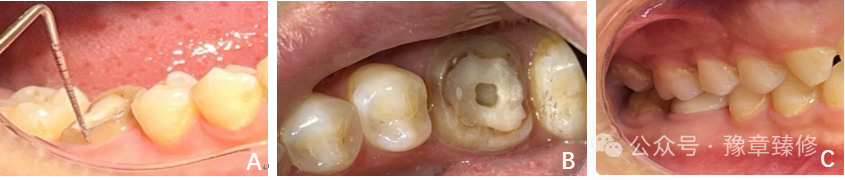
髓腔固位冠完全覆盖咬合面,依靠伸入髓腔的固位体获得主要固位,最大限度保留颈周牙本质,操作相对简单。根据剩余轴壁高度分为三型(如图3;Ⅰ型:至少2个壁>冠高1/2;Ⅱ型:至少1个壁>冠高1/2;Ⅲ型:所有壁<冠高1/2)[9]。固位深度以3-4mm为宜(过浅易脱位,过深增加折裂风险)(图4、5)[10]。髓腔固位冠用于短冠磨牙时,适用于𬌗龈距不足但剩余轴壁高度≥1mm的情况,尤其适合根管治疗后的弯曲/狭窄根管磨牙。短冠磨牙髓腔过浅(固位深度<2mm)或髓室壁过薄(<1mm)时,不适合采用髓腔固位冠进行修复。
图3:髓腔固位冠模式图(1a.第1型;1b.第2型;1c.第3型)
图片来自文献[11]
图4:A:牙体预备后颊侧𬌗龈距离约2mm;B:预备体𬌗面形态;C:正式修复体戴入口内咬合照
图片来源于南昌大学附属口腔医院
图5:左下第一磨牙根管治疗后髓腔固位冠的修复;A-C:术前口内照及根尖片;D-E:预备体形态;F:椅旁 CAD/CAM;G-H:术后临床照片及根尖片
图片来自文献[12]。
四、带桩髓腔固位冠
PFRC
针对髓腔固位深度不足(<3mm)的短冠磨牙,PFRC将修复体向根管内延伸1-2mm,与髓腔固位部分一体成型,使总固位深度达4-5mm,增大粘接面积和机械固位,并优化应力分布(桩分布于颊舌、近远中),有效解决了单纯髓腔固位冠固位不足的问题(图6)[13]。PFRC用于短冠磨牙时,适用于髓腔固位深度不足(<3mm)但需额外根管内固位(延伸1-2mm)的情况。当短冠磨牙根管过度弯曲或根尖未闭合(年轻恒牙)、或根尖周病变未控制(感染风险高),不建议使用PFRC修复。
图6:A-F修复前X线片及临床检查;A:根管治疗术前 X线片;B:根管治疗术后X线片;C:根管治疗术后颊侧近中𬌗龈距离约2mm;D:根管治疗术后颊侧远中𬌗龈距离约2.5mm;E:根管治疗术后舌侧近中𬌗龈距离约2.5mm;F:根管治疗术后舌侧远中𬌗龈距离约3mm。G:𬌗面牙体预备后情况;H:修复体情况;图I-L;2年后复查X线片和口内情况;I:修复后2年复查 X线片;J-L:2年后复查口内情况。
图片来自文献[13]
五、桩核冠
Post-and-core crown
当残冠/残根剩余牙体组织无法为全冠提供足够固位时,需借助桩核系统。桩插入根管提供固位,核与剩余牙体形成冠预备形态,共同传递咬合力[14]。桩核冠用于短冠磨牙时,尤其适用于经冠延长术后可暴露≥1.5mm根面高度的龈下缺损磨牙。当短冠磨牙根长不足(冠根比>1:1)或根吸收严重、根充不密合时,不适合采用桩核冠修复。
六、牙冠延长术
Crown Lengthening Surgery
当所有修复方式均因临床冠过短无法实施时,通过牙冠延长术去除部分骨组织,暴露更多牙体组织,可以为修复创造空间,核心在于严格评估并维持生物学宽度(通常需保证骨嵴顶至修复体边缘≥3mm)以及避免根分叉暴露(磨牙区需术前保持根分叉与牙槽嵴顶≥4mm)[15]。牙冠延长术用于短冠磨牙时,适用于𬌗龈距过短需手术暴露更多牙体组织的情况(需维持生物学宽度)。当短冠磨牙根分叉已暴露或牙槽骨支持不足(术后冠根比失衡),或伴有未控制的全身疾病(如糖尿病)时,不适合进行牙冠延长术。
七、3D打印氧化锆
3D Printing Zirconia
3D打印氧化锆技术通过将设计文件分层,由3D打印机逐层堆积材料形成生坯,再经烧结获得最终修复体[16]。常用方法包括立体光刻、数字光处理(DLP)、粘接剂喷射、熔融沉积建模、选择性激光烧结和材料喷射等。研究表明,3D打印的整体氧化锆冠具备较高精度,能满足临床要求[17]。其中,材料喷射技术(如纳米颗粒喷射-NPJ)表现尤为突出,相较于DLP等技术,NPJ冠在整体、外部、内表面及边缘尺寸精度、咬合面、轴面和边缘适合性方面展现出更优性能[18]。
7.1 高精度与密合度
与传统铣削需要去除额外材料保证刀具进入修复体尖锐边缘处不同,3D打印氧化锆无需进行刀具补偿,可以获得更紧密的边缘贴合(图7)(临床可接受边缘间隙<120μm[19],NPJ冠平均间隙仅约63.9μm[18],显著优于铣削冠)。这种优异的边缘精度,结合其高编程分辨率(16,000×17,625μm)与超薄层打印(10.5μm层厚[18])技术, 可以获得更高的整体和外部尺寸精度[18](图8),尤其在精细复制沟窝等复杂解剖结构方面表现出一定优势(图9)。高精度与高密合度为短冠基牙与修复体之间的摩擦力提供了保障,从而提高固位力。
图7:3D 打印的氧化锆修复体在尖锐边缘处贴合更紧密(左图),因为铣削时所需的刀具补偿(右图)。
图片来自文献[20]
图8:具有代表性的三维对比图像:左、中、右图像分别展示了外部区域、内表面和边缘。A. 减法制造组,B. 纳米颗粒喷射组
图片来自文献[18]
图9:A:47重新修复前的口内照B: 47基牙短小、咬合紧、固位差,修复空间不足C: 47重新修复后的口内照。(病例来源:杨磊,华人美学牙科学会会长,上海马泷齿科院长,日本长崎大学口腔齿科博士)
图片来自今日口腔[21]
7.2 高粘接强度
3D打印氧化锆技术通过设计多孔内表面精确构建微孔及特定几何结构(蜂窝状或内凹多孔-图10)[22],显著提升了表面粗糙度,为树脂粘接剂渗入全冠内表面提供通道[23]。这种微机械嵌合结构可以提升粘接性,研究证实其剪切粘接强度优于喷砂处理的铣削氧化锆,同时避免了喷砂可能引发的微裂纹和相变副作用[23],有效解决了短冠修复体因固位差、粘接失败导致的脱落问题。
图10:A:纳米颗粒喷射内表面多孔冠的内表面纹理化微孔结构;B:电子显微镜下纳米颗粒喷射技术制备的多孔表面形貌。
图片来自文献[23]
7.3 高强度
结合氧化锆材料高强度的优势,以及增材制造工艺本身的优势(边缘缺陷显著少于铣削、材料浪费极少),3D打印氧化锆修复体不仅极大限度减少了牙体预备量,实现微创修复,还能降低薄壁修复体因边缘崩损导致的断裂风险(图11)[24]。这对于短冠基牙尽量保留剩余牙体组织十分重要,避免因修复体所需厚度降低𬌗龈距而导致固位力进一步降低。
图11:不同肩台形态制作的牙冠边缘在 3D 激光扫描显微镜下的观察光固化成型(SLA)组:(A、B、C)圆钝线角边缘显示轮廓光滑,无微小瑕疵;(D)存在较大崩瓷。铣削组:(E、F)尖锐线角边缘可见分散的崩瓷;(G、H)刃状肩台牙冠中观察到更多且更大的崩瓷。(箭头:轮廓线;星号:瑕疵与崩瓷)
图片来自文献[24]
八、小结
Summary
短冠磨牙修复需综合考量缺损程度、牙周条件及根管状态,实施个性化策略。传统修复方法呈现梯度选择:嵌体冠与髓腔固位冠利用髓腔及剩余轴壁实现微创固位,适用于轴壁连续的大面积缺损;全冠辅助固位形通过增加机械锁结提升低矮牙冠固位力;带桩髓腔固位冠创新性融合髓腔与根管固位,显著优化单纯髓腔固位不足病例的应力分布;桩核冠仍是残冠残根重建的核心方案;牙冠延长术则通过手术暴露牙体,但需严格维持生物学宽度及避免根分叉暴露。3D打印氧化锆技术作为一种新兴方法,在实验室研究中展现出高精度制造、多孔粘接界面设计及高强度修复体成型的潜力,可能为短冠修复提供新的技术探索方向。然而,其长期临床稳定性、成功率和广泛应用仍需更多高质量研究验证。临床决策应综合评估牙周健康、咬合力、患者需求及远期预后,在微创理念指导下,结合传统技术与新材料优势,实现功能恢复、美学效果与生物相容性的长期统一。
声明:本文转载自<原豫章臻修>,仅用于学习交流,如有违规侵权,请立即联系我们。内容仅代表作者个人观点,望大家理性判断及应用。









