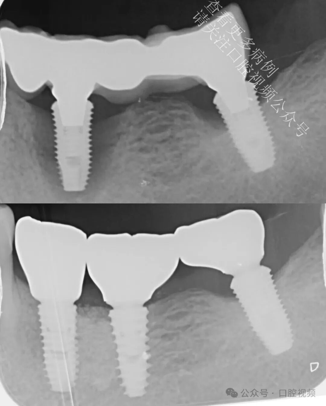
在对远中种植体周围实施非手术牙周治疗以稳定软组织后,该种植体开始出现自然的骨增量。未进行任何植骨术,仅通过更健康的轮廓形态、炎症减轻以及为生物学修复留出空间,便实现了这一转变。观察到远中种植体周围骨量增加及组织健康状况改善后,我们决定予以保留。
这提醒我们:当我们不再侵扰生物学,而是学会尊重它时,生物学便会慷慨回馈我们。
本病例最初计划进行桥体修整,并在近中种植体周围实施垂直+水平向骨增量手术。患者希望保留最后一颗天然牙,因此在等待植骨愈合期间,我将其转诊接受非手术牙周治疗,以稳定软组织。而在愈合过程中,一件令人瞩目的事情发生了:
远中种植体(LL7)开始出现自然的骨增量——此处并未进行任何植骨操作。仅仅是形成了更健康的软组织轮廓、炎症显著减轻,并为生物学自我修复创造了条件。最初,我计划拔除这颗已出现失败迹象的种植体,仅修复 LL5 和 LL6;但鉴于 LL7 周围骨量增加及组织健康状况明显改善,我们最终决定保留并修复该种植体。
这再次印证了一个理念:当我们停止对生物学的侵扰,转而尊重其内在规律时,生物学本身便展现出惊人的修复能力。
我在制定治疗方案时参考了 istvanurban 关于骨再生的核心原则,但本次最大的启示却来自生物学本身。
声明:本文转载于<口腔视频>,仅用于学习交流,如有违规侵权,请立即联系我们。内容仅代表作者个人观点,望大家理性判断及应用。









