病例一
上颌窦皮质骨壁较薄,拔牙及根尖清创导致穿孔。患者在初诊咨询时已被告知风险并表示接受,且知晓后续植入种植体时还需要进行间接的上颌窦提升术。
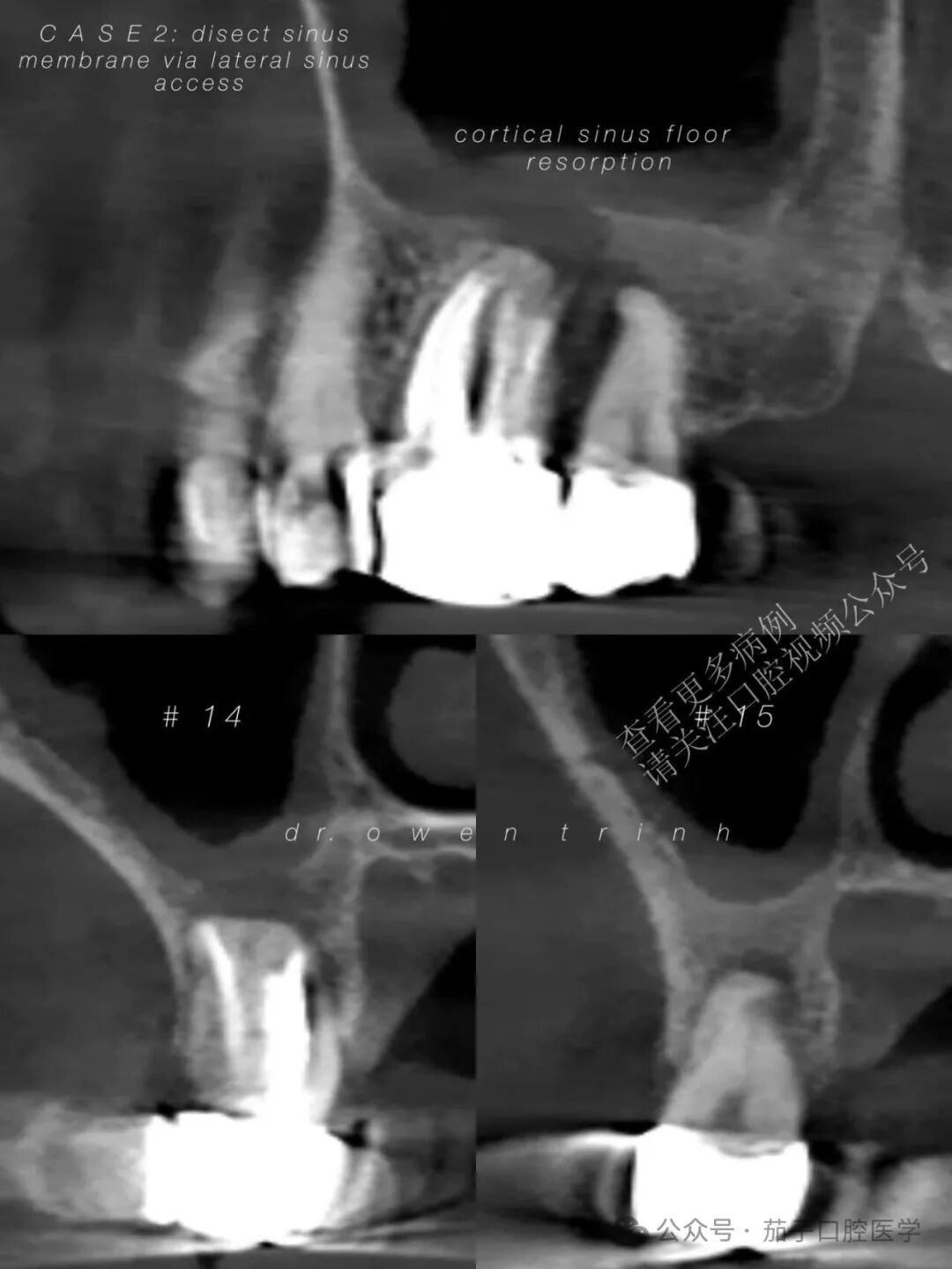
病例二
CBCT显示慢性根尖脓肿,已破坏上颌窦皮质底壁及#14与#15牙间的全部邻间壁。患者同意接受拔牙联合外侧上颌窦提升术,为后续种植体植入做准备。
分析
如果不将上颌窦黏膜从脓肿周围的肉芽肿组织上剥离,直接进行拔牙和彻底的根尖刮治,极易导致上颌窦黏膜撕裂。这不仅会造成术中并发症,还可能使后续为种植做准备的上颌窦增量(垂直骨再生)手术变得更加困难。
实际情况
由于增厚的上颌窦黏膜(慢性上颌窦炎)与脓肿之间存在强烈的粘连/附着,上颌窦黏膜很难与根尖牙槽骨壁分离(在抬升黏膜时阻力极大),这与气化良好的上颌窦底黏膜截然不同。此外,由于缺乏气化的牙槽突骨质,使得抬升上颌窦黏膜变得困难,因为医生必须使用上颌窦刮匙在14号牙和15号牙根尖牙槽骨的每一个转角和曲度中进行操作。
-END-
声明:本文转载于<茄子口腔医学>,仅用于学习交流,如有违规侵权,请立即联系我们。内容仅代表作者个人观点,望大家理性判断及应用。









